Digital smile design is an exciting new concept in dental technology that we offer our patients. Whether you have crooked, chipped, cracked, discoloured, or misaligned teeth, our services will let you choose and view your new smile before any treatment is complete.
We will make your perfect smile a reality throughout several appointments using a broad range of treatments and our years of expertise in cosmetic dentistry.
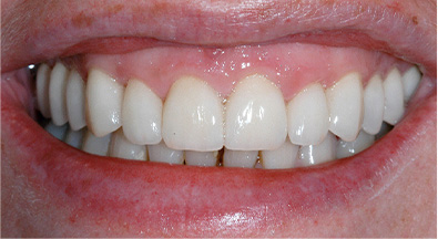
We use comprehensive cosmetic dentistry treatments such as porcelain veneers, porcelain crowns, composite bonding, and teeth whitening to create the beautiful smile of your dreams with artistry and skill.
Predictable Results – After the treatment is complete, we will capture photography and video, but you won’t stop smiling this time.
The digital smile design process can involve many different procedures designed to address various dental concerns. When determining which treatments are appropriate for you, factors such as tooth colour, alignment, and proportion will be considered.
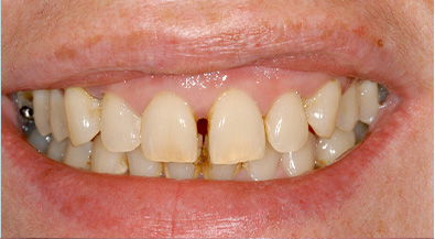
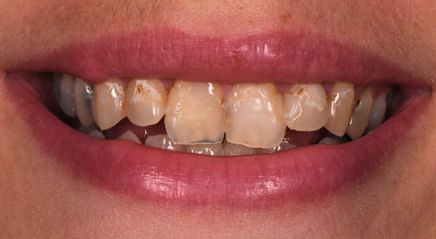
A cosmetic dentist will examine each of these features and review your unique needs. Common concerns for people who wish to undergo a smile design include discolouration, misalignment, and missing teeth.
We may recommend Teeth whitening or porcelain veneers to address concerns related to discolouration. The appearance of teeth that are stained due to smoking, eating habits, ageing, and other factors can be dramatically improved.
One major concern for many is misaligned teeth. There are several approaches that can dramatically improve a smile based on the severity of the tooth misalignment. Two of the most popular options include Invisalign® clear braces and porcelain veneers.
After an examination, a cosmetic dentist may recommend a dental implant or a bridge to replace a missing tooth or teeth. These options can improve not only the appearance of your smile but also restore its functionality.
During your initial appointment, you will come to our practice to discuss your goals for your new smile. After viewing slides, photographs and case studies of our prior cosmetic dental treatment results, you will choose the new size, shape, and colour of your teeth.
Considering your facial shape, lip line, eye position, and jaw angle, our cosmetic dentists, led by Dr Elaine Halley, will help guide your choices and create the best smile to match your facial features.
After your consultation, we will study the photographs, X-rays, and digital analysis of your teeth to develop an appropriate treatment plan that fits your needs. You will return to our dental practice in Perth to discuss your personalised dental plan at your earliest convenience. We will also take time to discuss the cost of the procedures and present to you our computer-generated images of your new teeth.
If you are satisfied with your individualised cosmetic dentistry plan, we will then schedule your treatment, or we may even begin your treatment immediately. Contact us today for more information or book an appointment.

The cost of Digital Smile Design varies based on the required treatments. A detailed breakdown will be provided during your consultation. Flexible payment plans are available to help make your dream smile a reality.
The timeline varies depending on the treatments involved, but many cases can be completed in just a few visits.
Yes, the DSD process includes a test drive of your new smile using temporary designs and computer-generated images.
Most patients can benefit from DSD. During your consultation, we’ll assess your goals and oral health to determine the best approach.


















Connect with Dr Elaine Halley from the comfort of your home. In just three simple steps, get expert advice, answers to your questions, and personalised guidance—all without leaving your sofa.
Explore More
Our cosmetic dentists craft smiles you’ll love. Using advanced techniques and Digital Smile Design technology, we ensure your new smile is as unique as you are.
Explore More
Meet with our Treatment Co-ordinator to discuss your goals and concerns in a relaxed, personalised consultation. Following a detailed digital assessment, we’ll carefully study your information and present tailored treatment options, including costs and payment plans, all designed to suit your needs and desires.
Explore More
Fill in the form and our friendly team will be in touch with you shortly.
See what our patients have to say! Read real reviews from Google and discover why so many trust Cherrybank Dental Spa with their smiles.
I can honestly say that I have never experienced such complete customer satisfaction. From when I first contacted Cherrybank Dental Spa to my most recent visits this week.I presented as a very compl… Read More
I was in dire straits with a missing front crowned tooth and was given immediate help to be able to reappear comfortably until a permanent plan was made to address the situation. The staff on the tel… Read More
I have been attending Cherrybank Dental Spa, Glasgow Road, Perth for I think, over 12 years now. I travel from Moray, which is around 160 miles each way. The reason I do this, is simply because of the… Read More
Another great experience at Cherrybank today. Ailis was excellent; kept me informed and took time to answer any questions I had. Very kind, caring and professional service. I would highly recommend Ch… Read More
I highly recommend Cherrybank. From my first consultation with Sam, the standard of my treatment and being involved all the way through was exceptional. All of the staff are friendly and welcoming. I … Read More